8 年
手机商铺
入驻年限:8 年
纪小姐
北京 石景山区
技术服务、实验室仪器 / 设备、细胞库 / 细胞培养、试剂、ELISA 试剂盒、抗体、耗材、论文服务、医疗器械
经销商 代理商
公司新闻/正文
771 人阅读发布时间:2024-06-07 13:58
文章题目:Impact of Resolvin D1 on the inflammatory phenotype of periodontal ligament cell response to hypoxia
Resolvin D1 对牙周韧带细胞缺氧反应炎症表型的影响
文章出处:J Periodontal Res. 2022;57(5):1034-1042. doi:10.1111/jre.13044;兰州大学口腔医学院
工作站使用情况:MAWORDE DY-L 低氧工作站
使用气体 浓度:低氧(1% O2)
摘要:牙周韧带细胞(PDLC)对牙周病的伤口愈合和再生能力至关重要。在炎症性牙周袋内,缺氧环境会加重牙周炎
症,PDLC 对炎症的反应会发生变化。Resolvin D1 (RvD1)是一种内源性脂质介质,可以影响牙周/口腔细胞的细胞内炎症通路和牙周再生。目前尚不清楚缺氧和 RvD1 如何影响促炎性 pdlc 表型的炎症反应。因此,本研究旨在验证缺氧可诱导 PDLC 的促炎表型变化,而 RvD1 可逆转这一变化。结果发现,缺氧在基因水平上增加了炎症因子的表达。RvD1在蛋白和 RNA 水平上降低了缺氧 PDLC 中 IL- 1β的表达;此外,在缺氧条件下,RvD1 治疗 21 天后,钙化结节密度明显增加。总之,研究结果表明,缺氧可上调炎症水平。RvD1 可降低低氧诱导的炎性细胞因子,而且,RvD1 可能通过Akt、HIF-1α和 p38 MAPK 信号通路影响 PDLC 中的钙结节。

Figure 1. Identification and osteogenic differentiation of PDLCs. (A) Morphology of PDLCs at passage 1: cells exhibited morphologies with triangular, spindle- like, cuboid, and short fusiform shapes. The scale bar is 200 μm. (B) PDLCs were positive for vimentin (green) and cell nuclei stained with Hoechst (blue), where cytokeratin was not detected. The scale bar is 100 μm. (C) Positive staining of Alizarin red S in PDLCs after 21 days culturing with osteogenic inducing medium. The scale bar is 200 μm. (D) Cell viability test by MTT after 3 days of treatment with LPS. LPS at doses of 0.01 and 0.1 μg/ml had no effect on cell viability. (E) IL- 1β secretion by PDLCs was measured by ELISA kit. LPS treatments at 0.1 and 1 μg/ml doses significantly increased the level of IL1βunder normoxic and hypoxic conditions, where there ,was no significant difference between 0.1 and 1 μg/ml groups. All the experiments were performed in triplicate.

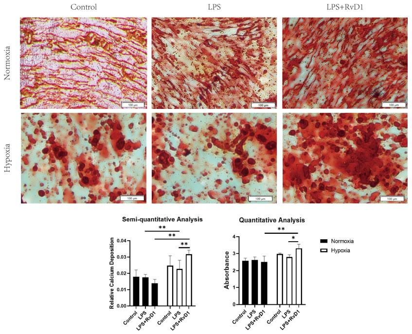
Figure 4. Alizarin red S staining of PDLCs after 21 days of osteogenesis inducing medium culture. After the staining was dissolved in 10% cetylpyridinium chloride, a quantitative measurement was performed. The semiquantitative analysis was the ratio of the amount to the total area of normalized calcium nodules. Cell density decreased under hypoxia, but the calcium nodules were not decreased and RvD1 promoted their formation. The scale bar is 100 μm. All the experiments were performed in triplicate.
小结:
1、 PDLC 细胞常氧组在 37℃、5% CO2 的培养箱中培养。低氧组置于低氧工作站(37℃、5% CO2、1% O2),养 3 d 后,分别收集细胞和上清液进行不同的测定。
2、 牙周炎导致组织损伤和牙槽骨的吸收,PDLC 在促进伤口愈合中起主要作用。本研究探讨了 LPS 刺激下 PDLC 在常氧和低氧条件下炎症反应的影响,为 RvD1 对低氧条件下 pdlc 的抗炎作用提供证据。
3、 本研究发现,PDLC 在用 LPS 处理后获得了一种促炎表型,它模拟了牙周炎部位的局部微环境。LPS 组与 LPS+RvD1 组比较,观察 RvD1 能否逆转缺氧诱导的 PDLC 变化;牙周炎的严重程度与缺氧呈正相关,在缺氧 刺激下,PDLC 中炎性细胞因子水平升高,缺氧可能通过 Akt 和 p38 信号通路影响炎症反应,应用 RvD1 后, 在缺氧环境下,基因水平上 IL- 1β和 TNF- α的表达降低,由于缺氧使 PDLC 产生促炎表型,因此 RvD1 的抗炎 作用更为明显,说明 RvD1 可以逆转缺氧的作用。
4、 总之,缺氧可促进 PDLC 的细胞反应和成骨分化。同时,RvD1 可以介导缺氧诱导的 PDLC 促炎性表型变化。 RvD1 可降低缺氧诱导的 LPS 刺激细胞的促炎性细胞因子。此外,RvD1 可能通过 Akt、HIF1α和 p38 MAPK 信号通路影响 PDLC 中的钙结节。
北京隆福佳主要致力于低氧/厌氧领域设备的研发、生产和销售,在细胞产业方面,主要致力于低氧设备的研发生产与销售。涉及的相关产品有可用于细胞培养的细胞低氧培养小室,有用于保持细胞在所需环境下进行长期观察的显微镜观察小室,也有满足细胞低氧高压微环境的低氧微高压培养系统,还有应对客户高要求的集细胞培养、操作、观察于一体的,使细胞一直处于所需气体环境的低氧/厌氧工作站。在产品定制方面,隆福佳在现有的低氧设备综合箱基础上整合细实时细胞分析仪、细胞能量代谢仪、酶标仪、分子检测仪、显微镜观察系统等,达到所需低氧环境下进行细胞形态观察、细胞动态分析及细胞能量代谢分析等;可以说隆福佳从简单的低氧控制系统到高端的低氧工作站,均可提供产品一体化解决方案,可以定制,也可以整合仪器,为细胞生物学及微生物学研究提供强有力的设备和技术支持。